Київ,
вул. М. Максимовича, 32а

Пн-Пт 9:00-21:00

Сб-Нд 9:00-21:00

  • Лікування зубів
  • Виправлення прикусу
  • Естетична стоматологія
  • Імплантація зубів
  • Хірургічна стоматологія
  • Чистка зубів
  • Пародонтологія
  • Протезування зубів
  • Надійна сучасна Київська стоматологія
    +380 68 570 97 97
    Головна
    Одномоментна імплантація
    Імплантація зубів

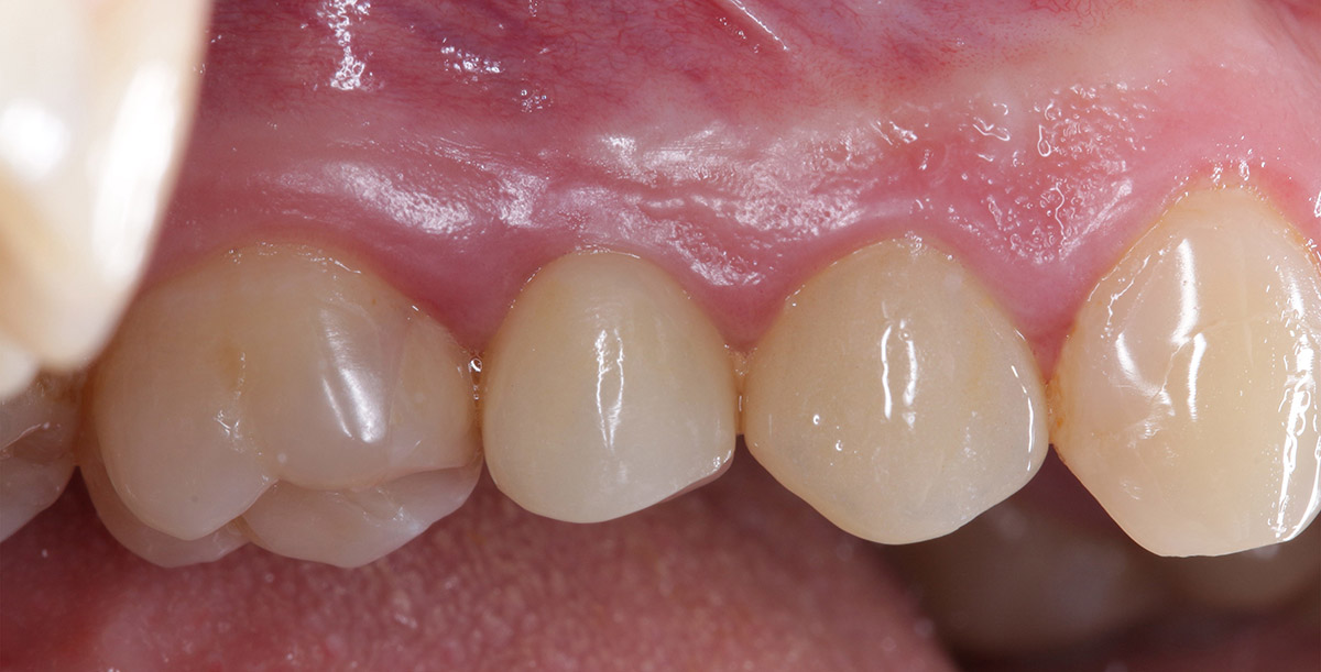
    Одномоментна імплантація зубів у Києві

    Це можливість відновити втрачений зуб всього за 60 хвилин без болю. Якщо зуб зруйнований або загрожує сусіднім, найкращим рішенням стане імплантація, що забезпечує швидкий естетичний результат. Процес триває лише 8-12 тижнів, а мінімальне хірургічне втручання гарантує швидку реабілітацію та контроль фахівців на всіх етапах, з гарантією результату без болю та ускладнень.

    Отримайте консультацію за телефоном

    Dentist is checking up a patient with an ortodental system

    Що таке одномоментна імплантація

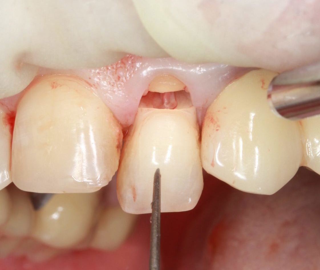
    Імплантат встановлюється одразу після видалення пошкодженого зуба в один етап. Цей метод дозволяє уникнути тривалої паузи між видаленням і імплантацією , значно скорочуючи час лікування та забезпечуючи швидке відновлення зубного ряду. Завдяки мінімальному хірургічному втручанню, пацієнти отримують швидку реабілітацію та естетичний результат.

    Особливість операції в тому, що ясна не розрізаються. Імплант розміщують у лунку, що утворюється після видалення зуба. Такий метод називають транс гінгівальним. Пацієнт не відчуває біль і вже за 1 годину виходить від стоматолога з імплантом.

    Переваги одномоментної імплантації

    • Icon
      Пацієнт зберігає природні контури ясен і кісткової тканини

      У майбутньому не буде потреби додатково відновлювати або формувати ці тканини, що часто буває при традиційній імплантації.

    • Icon
      Це запобігає атрофії тканин

      При тривалому видаленні зубного кореня є ризик "просідання" кісткової тканини. Однак завдяки одномоментній імплантації імплантат встановлюється одразу на місце проблемного кореня. Тимчасова коронка бере на себе жувальне навантаження, що запобігає атрофії тканин.

    • Icon
      Економія часу

      При класичній імплантації протез встановлюють лише через 3-6 місяців. Одномоментна імплантація дозволяє встановити тимчасову коронку в день операції, що значно економить час пацієнта і скорочує загальну тривалість лікування.

    Недоліки одномоментної імплантації

    Як і будь-яка процедура, одномоментна імплантація має ряд мінусів:

    • Підвищений ризик відторгнення – через негайне навантаження на імплантат підвищується ймовірність його несприйняття організмом.
    • Не підходить для всіх випадків – якщо є недостатній об'єм кісткової тканини або запалення, одномоментна імплантація може бути неефективною.
    • Потреба в додатковій підготовці – перед процедурою важливим є ретельний аналіз стану тканин, що може збільшити час підготовки до операції.
    • Гігієна - в процесі видалення зубного кореня інколи ушкоджуються ясна. Вони потребують загоєння що ускладнює ретельну гігієну.
    • Велике навантаження на імплантат – раннє встановлення тимчасової коронки може призвести до перевантаження імплантату, що збільшує ризик ускладнень.
    Dentist is checking up a patient with an ortodental system
    Dentist is checking up a patient with an ortodental system

    Догляд після операції

    1. Протягом приблизно 3 годин після дії анестезії не можна їсти, оскільки знижена чутливість може призвести до випадкового травмування язика чи щоки.
    2. Наступні 3-4 дні намагайтеся пережовувати їжу на протилежній стороні щелепи.
    3. Уникайте інтенсивних фізичних навантажень протягом 1-2 тижнів, оскільки це може підвищити кровообіг і спричинити кровотечу.
    4. Дотримуйтесь рекомендацій лікаря щодо прийому антисептичних засобів та антибіотиків, використовуючи їх за призначеною схемою.
    5. Використовуйте нову м’яку щітку для дбайливого чищення, уникаючи контакту з прооперованою ділянкою, а також віддайте перевагу зубній пасті з рослинними екстрактами під час відновлення.
    6. Регулярно відвідуйте лікаря для контрольних оглядів.

    Чим одномоментна імплантація відрізняється від традиційної

    Tab image
    Традиційний метод

    Традиційний чи класичний метод застосовують, якщо з моменту видалення зуба пройшло кілька тижнів чи місяців.

    • Одноетапна імплантація — передбачає встановлення імплантату разом із абатментом в одну процедуру, після чого на нього одразу одягається тимчасова коронка. Це дозволяє швидко відновити естетичну та функціональну частину зуба, мінімізуючи час лікування.
    • При двоетапній імплантації — встановлюється імплантат, після чого ясна зашиваються, і імплантат приживається протягом 3-6 місяців. Після повного загоєння відбувається наступний етап — встановлення коронки на імплантат.
      Tab image
      Одномоментний метод

      Такий протокол лікування використовують, якщо:

      • зуб частково або повністю зруйнований;
      • почав псуватися сусідній зуб;
      • виявлено пародонтит.

      Пародонтит може стати на заваді провести операцію одномоментної імплантації. Лікареві потрібен час, щоб усунути запалення. Тільки тоді можна розпочинати операцію.

        Для пацієнта операція максимально безболісна

        Процедура максимально безболісна завдяки місцевій анестезії, тож ви будете відчувати лише маніпуляції в ротовій порожнині без болю. Стоматолог акуратно видаляє зруйнований зуб і встановлює імплант у лунку, а операцію проводить досвідчений хірург.

        Profile image

        Садовський Дмитро

        головний лікар, хірург, імплантолог

        Одномоментна імплантація (відразу після видалення зуба)

        Наші лікарі виконують хірургічні маніпуляції будь-якої складності, будь то складне видалення, чи аутотрансплантація зубів! Ми виконуємо всі види імплантації і гарнтуємо комфорт і безболісність процедур, адже до вашого вибору усі методи седації – від місцевої анестезії до лікування уві сні.

        Фото зубного импланта
        Види одномоментної імплантації

        За результатами діагностики лікар обирає один із 3 протоколів для проведення одномоментної імплантації.

        Tab image
        Операція з негайним навантаженням

        Лікарі Київської стоматології Root використовують імпланти від Straumann та MegaGen.

        Це означає встановлення імплантату і одночасне прикріплення до нього тимчасової коронки або іншого протеза в межах однієї процедури.

        До нас звернувся пацієнт з глибоким травматичним переломом кореня, за цих умов спасти зуб неможливо. Лікарем було прийнято рішення про видалення рештків корення і одномоментну імплантацію з навантаженням. Результат на фото.

          Tab image
          Операція з відкладеним навантаженням

          Лікарі Київської стоматології Root використовують імпланти від Straumann та MegaGen.

          Встановлення імплантату відбувається без негайного прикріплення протеза, що дозволяє імплантату прижитися і інтегруватися з кісткою протягом 3-6 місяців. Після цього на імплантат встановлюється постійна коронка або інший протез.

            Tab image
            Операція із встановленням формувача ясен

            Лікарі Київської стоматології Root використовують імпланти від Straumann та MegaGen.

            Операція із встановленням формувача ясен включає імплантацію спеціального компонента, який формує та підтримує правильну форму ясен навколо імплантату. Цей формувач встановлюється після первинного етапу імплантації і допомагає досягти естетичного результату перед установленням остаточного протеза.

              Dentist is checking up a patient with an ortodental system

              Кому підходить одномоментна імплантація

              Основною умовою для операції є достатня кількість кісткової тканини. Проте для одномоментної імплантації є низка протипоказань:

              • Захворювання кісткової тканини або запалення ясен.
              • Велика ширина лунки.
              • Новоутворення в тканинах.
              • Періодонтит.
              • Цукровий діабет.

              Переважно одномоментну імплантацію проводять за низкою показань:

              • Травматизація коренів.
              • Нещодавнє видалення зуба — коли зуб був видалений нещодавно і кісткова тканина ще не встигла змінитися.
              • Здорові ясна і достатній об'єм кістки — для забезпечення стабільної інтеграції імплантату.
              • Відсутність запальних процесів — коли відсутні інфекції або запалення в області видалення.
              • Естетичні та функціональні вимоги — для швидкого відновлення естетики і жувальних функцій без тривалого періоду очікування.

              Що робити, якщо операція протипоказана у вашому випадку?

              Якщо у вашому випадку є протипоказання, то завжди можна використати класичний метод імплантації і мінімізувати ризики.


              Завітай на консультацію у клініку «ROOT», і ви отримаєте вичерпну відповідь від головного лякаря хірурга, який підбере найкращий метод лікування у вашому випадку.

              Profile image

              Дмитро Садовський

              лікар-імплантолог, головний лікар

              Dentist is checking up a patient with an ortodental system

              5 основних етапів одномоментної імплантації

              Діагностика

              Лікар оцінює загальний стан ротової порожнини, проводяться рентгенівські обстеження для визначення якості кісткової тканини і планування імплантації.

              Санація ротової порожнини

              На цьому етапі лікар проводиться очищення від карієсу, лікування запалень і усунення інших проблем для підготовки до імплантації.

              Вилучення кореня зуба

              Лікар приступає до видаляється зруйнованого зуба або його частини, щоб забезпечити чисте місце для установки імплантату.

              Установка імпланту

              Імплантат вставляється в кісткову тканину на місце видаленого зуба, після чого починається процес загоєння і інтеграції з кісткою.

              Протезування

              Спочатку на імплантат монтується тимчасова коронка для забезпечення функціональності та естетики на період загоєння, після чого, після повної інтеграції імплантату, встановлюється остаточна постійна коронка.

              Чи обов'язково видаляти?

              Не поспішайте з видаленням зуба, яке вам рекомендував один лікар! Зверніться до клініки "Root", де наші досвідчені стоматологи часто знаходять найкращі рішення для збереження зубів навіть у складних випадках. Отримайте 2-3 додаткових консультації, щоб бути впевненими у найкращому варіанті для вашого здоров'я.

              Фото зубного импланта

              Від чого залежить вартість імплантації зубів у клініці Root

              1. Робота хірурга. Наприклад, якщо потрібно на початок видалити відразу кілька зубів і встановити більше 1 імпланту.
              2. Виробник імпланту. Є варіанти бюджетних та дорогих моделей: MegaGen(Південна Корея), Straumann (Швейцарія).
              3. Додаткові роботи: санація рота, лікування запалень, ушивання лунки, пластика ясен чи нарощення об'єму кістки і т.д. Кожен випадок індивідуальний.

              Красива посмішка за один візит

              • Icon
                Без болю

                Професійність наших лікарів проведуть всі маніпуляції без болю.

              • Icon
                Хірургія щодня

                Встановили більше 9 000+ імплантів, та щоденно наші хірурги виконують операції різної складності.

              • Icon
                Гарантія результату

                Наші результати говорять про нас більше ніж слова.

              Відгуки про статомалогію

              Результати

              РЕЗУЛЬТАТИ ЛІКУВАННЯ — ДО І ПІСЛЯ

              До Після Імплантація
              demo img demo img
              До Після Імплантація
              demo img demo img
              До Після Гігієна
              demo img demo img
              До Після Імплантація
              demo img demo img
              До Після Тотальне протезування
              demo img demo img
              До Після Вініри
              demo img demo img
              До Після Тотальне протезування
              demo img demo img
              До Після Закриття рецесії ясен
              demo img demo img
              До Після Вініри
              demo img demo img
              До Після Гігієна
              demo img demo img
              До Після Закриття + Вініри
              demo img demo img
              До Після Реставрація
              demo img demo img

              Більше про одномоментну імплантацію зубів розповість лікар на першому діагностичному прийомі

              а також складає ваш індивідуальний план лікування

              На час проведення операції та на етапі відновлювлення за вами закріплюється індивідуальний лікар. Вкажіть свій номер телефону, і ми запросимо вас на прийом у зручний для вас час.

              Прийом включає:

              • огляд лікаря;
              • аналіз КТ;
              • складання плану лікування і вибір варіантів імплантації.
              Адміністротор стоматології в Root Clinic